Коронавирусите са голямо семейство от вируси, които причиняват заболявания, вариращи от лека настинка до по-тежки заболявания, като респираторен синдром в Близкия изток (MERS-CoV) и тежък остър респираторен синдром (SARS-CoV). Пандемията, причинена от SARS-CoV-2, продължава с пълна сила повече от година. Каква е новата информация, свързана с COVID-19? Прочетете последната информация за вирусните варианти и за ефективността на съществуващите в момента ваксини срещу COVID-19.
Последна актуализация: 1-ви юли, 2021| Изследване | За кого е подходящ този тест? | Цена | Поръчай |
|---|
Съдържание
Обновено:Какво представляват новите вирусни варианти на COVID-19?
Вирусът, който причинява COVID-19, непрекъснато се променя чрез мутации, което води до нови вирусни варианти. Някои от тези варианти са особено обезпокоителни, защото имат потенциал да се разпространяват по-лесно и бързо от други варианти, което може да доведе до повече случаи на COVID-19.
Неотдавнашно проучване на Центъра за превенция и контрол на заболяванията в САЩ установи, че разпространението на вариантите на SARS-CoV-2 се променя бързо за последната половин година, демонстрирайки колко бързо може да се появи нов вариант, който да се разпространи и да стане доминиращ щам.
Колкото повече вирусът циркулира в една популация от хора, толкова повече възможности има той да се измени, да мутира и да се намали ефективността на ваксините, с които разполагаме. Последните проучвания показват, че наличните ваксини са ефективни срещу варианти, циркулиращи в момента, включително B.1.617.2.
Ваксините прекъсват способността на вируса, който води до COVID-19, да се разпространява между хората и да мутира, така че е важно всички да се ваксинират при първа възможност.
Важно е да знаем, че генетични варианти на SARS-CoV-2 се появяват и циркулират по целия свят по време на пандемията от COVID-19. Вирусните мутации и варианти в страните по света, а и в нашата, се следят рутинно чрез наблюдение, лабораторни и епидемиологични изследвания.
Вариантите, които циркулират в момента са:
- B.1.1.7 (Alpha)
- B.1.351 (Beta),
- B.1.617.2 (Delta)
- P.1 (Gamma)
Всички те изискват наблюдение и са свързани с безпокойство. Лабораторните проучвания показват, че специфичното лечение с моноклонални антитела може да бъде по-малко ефективно за лечение на случаи на COVID-19, причинени от варианти с определени замествания или комбинации от замествания в шипчестия протеин S.
Вариантите от интерес са тези със специфични генетични маркери, които са свързани с промени в свързването към рецепторите, намалена неутрализация от антитела, образувани при предишна инфекция или ваксинация, намалена ефикасност на лечението, потенциално диагностично въздействие или увеличена способност за заразяване и разпространение или тежестта на заболяването.
Всички тези нови и значими варианти изискват подходящи действия в областта на общественото здраве, включително засилено наблюдение на разпространението, подобрена лабораторна диагностика или епидемиологични изследвания, за да се оцени колко лесно циркулира вирусът между хората, каква е тежестта на заболяването, до което води, ефикасността на терапевтичните средства и дали в момента одобрените ваксини предлагат защита срещу тях.
Обновено:Ефективност и безопасност на ваксините срещу COVID-19
COVID-19 ваксините са безопасни и ефективни за предотвратяване на болестта COVID-19, особено да се избегне тежкото боледуване, необходимостта от постъпване в болница, от механична вентилация и смърт. Също така, COVID-19 ваксините намаляват риска хората да разпространяват вируса, който причинява COVID-19.
Може да имате нежелани реакции след ваксинация. Те са нормални и изчезнат след няколко дни.
Обикновено отнема 2 седмици след ваксинацията, за да може тялото да изгради защита (имунитет) срещу вируса, който причинява COVID-19. Вие не сте напълно ваксинирани до 2 седмици след втората доза при 2-дозова ваксина или 2 седмици след поставяне на еднодозова ваксина. След като сте напълно ваксинирани, можете да възобновите дейностите, които сте правили преди пандемията.
Все още не знаем, но продължаваме да събираме данни за това:
- Колко добре ваксините защитават хората с отслабена имунна система, включително хората, които приемат лекарства, които потискат имунната система
- Колко дълго ваксините COVID-19 защитават хората
- Колко души трябва да бъдат ваксинирани срещу COVID-19, преди популацията да може да се счита за защитена (популационен имунитет)
- Колко ефективни са ваксините срещу нови варианти на вируса, който причинява COVID-19
- Какъв е защитният титър на антителата след преболедуване и ваксинация, за да се чувстваме защитени.
В момента в нашата страна са одобрени и се прилагат 4 ваксини:
- BioNTech, Pfizer
- Johnson & Johnson (Janssen)
- Moderna
- Oxford, AstraZeneca
Всяко лице, гражданин на нашата страна, мад 12 годишна възраст, може да постави своята ваксина в най-близкия ваксинационен център. По медицински показания няма съществени разлики между ваксините. Ваксините могат да се прилагат при пациенти с хронични, онкологични, автоимунни и други заболявания. Препоръчва се да се пристъпи към ваксинация, когато заболяването е под кобтрол, когато това е възможно. Бременни и кърмещи жени също могат да се ваксинират безопасно. Консултирайте се с Вашия лекар кога е най-удачно да направите Вашата ваксинация.
Специални препоръки за ваксинация:
- На преболедувалите лица също се препоръчва да се ваксинират след преболедуването, за да изградят оптимален имунитет, вклюително към съществуващите и бъдещите вирусни варианти.
- Единствените противопоказания са свързани с доказана тежка алергична реакция към някоя от съставките на ваксините. При пациенти с алергия към един или повече алергени се препоръчва да се направи консултация с алерголог и продължително наблюдение непосредствено след ваксинацията.
- Хора с инфекция, COVID-19 или друга, които имат висока температура над 38 0С и симптоми, е необходимо да отложат своята ваксинация, докато оздравеят. Локални възпалителни процеси (напр. зъбен проблем) или употреба на антибиотици и други лекарства не е противопоказание за ваксинация.
- При лекарства за разреждане на кръвта се спазват препоръките за INR<4 и продължително натискане в мястото на убождане за избягване на хематом. Моля, консултирайте се с Вашия кардиолог.
- При пациенти, които приемат имуносупресивна терапия или химиотерапия и/или биологична терапия, могат да се ваксинират след консултация с лекуващия лекар и избор на подходящо време за ваксинира спрямо другата терапия.
Ваксините срещу COVID-19 могат да бъдат прилагани и с други ваксини. Моля, свържете се с Вашия лекар.
Обновено:Въпроси и отговори за COVID-19 ваксините
Споделяме за Вас най-често задаваните въпроси за ваксините срещу COVID-19. В условията на пандемия, свързана с вируса, същестува и друга пандемия – на фалшивата информация. Тук, нашите медицински специалисти, сме подбрали за Вас достоверна и надеждна информация, която да Ви даде необходимите отговори и да можете да вземете решение за Вас и за Вашето семейство и близки.
Ще имам ли магнитни свойства след ваксиниране?
Не. Приложението на ваксина срещу COVID-19 няма да Ви направи магнитни, както мястото на ваксинацията, така и Вас самите. Ваксините COVID-19 не съдържат съставки, които могат да създадат електромагнитно поле на мястото на инжектиране. Всички ваксини COVID-19 не съдържат метали като желязо, никел, кобалт, литий и редки земни сплави, както и всякакви продукти като микроелектроника, електроди, въглеродни нанотръби и полупроводници и т.н. В допълнение, типичната доза за ваксина срещу COVID-19 е по-малка от милилитър, което не е достатъчно, за да позволи на магнитите да бъдат привлечени към мястото на ваксиниране, дори ако ваксината е пълна с магнитен метал.
Ваксината задържа ли се в моето тяло и мога ли да разпространявам вируса?
Не. Нито една от ваксините, разрешени за употреба в света, не съдържа жив вирус. Ваксиналните компоненти не се отделят от ваксините, така че не е възможно нито един от компонентите на ваксината да се натрупва в тъканите или органите на тялото, включително яйчниците.
Безопасно ли е за мен да получа ваксина срещу COVID-19, ако искам да имам бебе един ден?
Да. Ако се опитвате да забременеете сега или искате да забременеете в бъдеще, може да получите ваксина COVID-19. Понастоящем няма доказателства, че ваксинацията срещу COVID-19 причинява проблеми с бременността, включително развитието на плацентата. Освен това проблеми с плодовитостта не са описани като раничен ефект на всяка ваксина, включително ваксините срещу COVID-19. За разлика от тях, вирусът SARS-CoV-2 влияе директно и негативно на репродуктивните способности на преболедувалите. Както всички ваксини, учените изучават внимателно ваксините срещу COVID-19 за странични ефекти сега и ще продължат да ги изучават в продължение на много години.
Ще промени ли ваксината COVID-19 моята ДНК?
Не. COVID-19 ваксините не променят и не взаимодействат с нашата ДНК по никакъв начин. Понастоящем има два вида ваксини срещу COVID-19, които са разрешени и препоръчани за употреба в България – ваксини с РНК (mRNA) и ваксина с вирусен вектор. Както иРНК, така и вирусните векторни COVID-19 ваксини доставят инструкции (под форма на генетичен материал) на нашите клетки, за да започнат да изграждат защита срещу вируса, който причинява COVID-19. Ваксината обаче никога не попада в ядрото на клетката, където се съхранява нашата ДНК. Това означава, че генетичният материал във ваксините не може по никакъв начин да повлияе или да взаимодейства с нашата ДНК. Всички ваксини COVID-19 работят с естествените защитни сили на организма (нашата имунна система), за да развият безопасно имунитета срещу болестта.
Може ли да ме накарат насила да се ваксинирам срещу COVID-19?
Не. Никое правителство не налага (изисква) ваксинация за хората. Въпреки това, държавата или местното правителство, както и работодател, например, могат да изискват ваксинация срещу COVID-19, за различните цели, вкл. пътувания, специфична работа с хора и други.
Ще дам ли положителен тест за COVID-19 след ваксинация?
Не. Нито една от разрешените и препоръчани ваксини срещу COVID-19 не може да позитивира тестовете за доказване на SARS-CoV-2 – PCR или антигенни тестове. Ваксините се поставят в мускула, а след оказване на своето действие, те се разграждат. Самите ваксини не съдържат вирусна РНК или антигени на вируса. Освен това, тестовете се правят с материал от носоглътката, така че ако позитивирате PCR или антигенен тест след ваксинация, Вие сте били заразени или сте се заразили около ваксинацията.
Ваксинациите предпазват повечето хора от разболяване. Въпреки това, малък процент от напълно ваксинираните хора все още могат да се разболеят от COVID-19. Има някои доказателства, че ваксинацията може да направи заболяването по-леко при хора, които са ваксинирани.
Ако тялото Ви развие имунен отговор след ваксинацията, което е и целта, може да дадете положителен резутат при някои тестове за антитела . Тестовете за антитела показват, че сте имали предишна инфекция и/или ваксинация и че може да имате ниво на защита срещу вируса. Понастоящем експертите разглеждат как ваксинацията срещу COVID-19 може да повлияе на резултатите от изследването на антитела, както и се търси какво е защитното ниво на антитела, за което можем да смятаме, че ни предпазва.
Може ли ваксинацията срещу COVID-19 да ме разболее от COVID-19?
Не. Нито една от разрешените и препоръчани ваксини срещу COVID-19, както и тези, които в момента се разработват, не съдържа живия вирус, който причинява COVID-19. Това означава, че ваксината срещу COVID-19 не може да Ви разболее от COVID-19.
COVID-19 ваксините учат нашата имунна система как да разпознава и да се бори с вируса, който причинява COVID-19. Понякога този процес може да причини симптоми като висока температура и обща отпадналост. Тези симптоми са нормални и са признаци, че тялото изгражда защита срещу вируса, който причинява COVID-19.
Обикновено са необходими няколко седмици, за да може тялото да изгради имунитет (защита срещу вируса, който причинява COVID-19) след ваксинация. Това означава, че е възможно човек да се зарази с вируса, който причинява COVID-19 непосредствено преди или непосредствено след ваксинацията. Това е така, защото ваксината не е имала достатъчно време, за да осигури защита.
Може ли, ако съм била близо до някого, получил ваксина срещу COVID-19, това да повлияе на менструалния ми цикъл?
Не. Вашият менструален цикъл не може да бъде повлиян от това, че сте близо до някой, който е получил ваксина COVID-19. Много неща могат да повлияят на менструалния цикъл, включително стрес, промени в графика Ви, проблеми със съня и промени в диетата или упражненията. Инфекциите също могат да повлияят на менструалния цикъл.
Как коронавирусът атакува тялото ви?
Болестта COVID-19 започва, когато човек погълне вирусни частици в капчици от кашлица, кихане или дишане на заразен човек. Тези капчици могат да бъдат във въздуха или на повърхност, а след това докоснете очите, носа или устата си. Оттам вирусът навлиза през лигавиците в организма.
Когато организмът на човек се зарази с вирус, той навлиза в здравите клетки и ги уврежда. Използвайки клетките, вирусът се размножава и създава свои копия, които се отделят и заразяват нови клетки. Така вирусът се разпространява из цялото тяло.
Новият коронавирус се захваща за разположени по повърхността на клетките протеини, наречени ACE2 рецептори. Тяхното количество е най-голямо в белите дробове. Смята се, че COVID-19 е по-вероятно да засегне долните дихателни пътища и белите дробове повече, отколкото обикновена настинка.
Как реагира тялото ни при среща с COVID-19?
В рамките на 2 до 14 дни имунната система реагира на вируса с появата на симптоми, включително: висока температура, кашлица, задух или затруднено дишане, умора, втрисане, болки в тялото, главоболие, възпалено гърло, хрема, загуба на мирис и/или вкус, гадене, повръщане или диария.
Белите дробове могат да се възпалят, което затруднява дишането. Вирусът може да предизвика пневмония. Това е заболяване на малките въздушни торбички (наречени алвеоли) в белите дробове, където кръвта обменя кислород и въглероден диоксид.
Ако в този период се направи КТ на гръдния кош, вероятно ще се видят сенки или неравномерни участъци, наречени „непрозрачност тип матово стъкло“.
За повечето хора симптомите на болестта са само кашлица и треска, като в над 80% от случаите са леки. Но за някои заразени инфекцията е тежка. При тях около 5ти до 8ми дни след започване на симптомите се появява задух (известен като диспнея). Синдромът на остър респираторен дистрес (ARDS) започва няколко дни по-късно.
ARDS може да причини учестено дишане и пулс, световъртеж, изпотяване. Този синдром уврежда тъканите и кръвоносните съдове на алвеолите, водейки до събиране на течност вътре в тях. Това прави дишането по-трудно или дори невъзможно. В тези случаи може да се наложи човекът да се интубира и дишането му да се поддържа от машина. Освен белите дробове и черният дроб, сърцето и бъбреците могат да бъдат увредени. Рядко се срещат оплаквания като обриви, образуване на кръвни съсиреци, червеникаво-лилави петна по пръстите на ръцете и краката. При деца може да се наблюдава и състояние, подобно на болестта на Kawasaki.
Безсимптомното протичане на COVID също се среща – около 40% от заразените никога не развиват характерни симптоми. То не бива да се подценява обаче, защото изследванията показват, че хора с положителен резултат за COVID-19, но които никога не са се чувствали зле, могат също да имат промени в белите дробове и сърцето. Все още никой не знае какво точно означават тези промени и дали те ще останат или ще изчезнат с преминаването на инфекцията. Надеждите на лекарите са свързани с това при млади и здрави лица с достатъчно голям белодробен резерв да няма проблеми в бъдеще след преболедуването. Особено актуален е въпросът при малки деца, преболедували от COVID-19.
Някои от преболедувалите пациенти с COVID-19 се уморяват по-лесно и не могат да тренират толкова интензивно, колкото преди. Около 94% от хората, починали от COVID-19 в САЩ, са имали между 2-3 други съпътстващи заболявания, според нови данни, публикувани от CDC. Това означава, че при само 6% от смъртните случаи се посочва COVID-19 като единствената причина.
По-голямата част са страдали от състояния като дихателна недостатъчност, повишена съсирваемост на кръвта и инсулт, които могат да бъдат причинени от самия коронавирус. Други са имали основни заболявания като хипертония, сърдечна недостатъчност, сепсис и диабет, които са съществували преди това.
Състояния като сърдечен арест, бъбречна недостатъчност, чернодробна недостатъчност, сепсис, белези на белите дробове и т.н. могат да се появят след инфекция с SARS-CoV-2, което води до смърт. Тези данни ни помагат да разберем повече за това какво увеличава риска от лоша прогноза поради COVID, но това не променя факта, че COVID е по-смъртоносен от другите вируси. Понякога има множество допринасящи фактори, въпреки че основната причина за смъртта остава COVID-19.
Как си взаимодействат имунната система и COVID-19?
Антитела срещу COVID-19 могат да се открият в кръвта на преболедувалите поне 4 месеца, показват най-новите проучвания. Това е обнадеждаващо и за ефективността на ваксините, които в момента се тестват. Въпреки това, друго проучване доказва, че COVID-19 може да се хване и два пъти.
Имунитетът на гостоприемника към този непредсказуем и силно заразен вирус може да не е мимолетен и да е подобен на този, предизвикан от повечето други банални вирусни инфекции. При изследване на кръвни проби на преболедували, 1107 от 1215 души са имали антитела. При някои от тези хора изследователите са установили, че нивата на антителата са се увеличили през 2-те месеца след поставяне на диагнозата и са се задържали в кръвта през следващите 2 месеца.
Друг факт е, че нивата на антителата са били по-високи при възрастните хора и тези, които са имали по-тежко протекла инфекция. Жените пък са имали по-ниски нива на антитела от мъжете, а пушачите – по-ниски нива от непушачите. Исландско изследване показва, че няколко месеца след поставяне на диагнозата се появяват нови, различни антитела към вируса. Те вероятно са по-дълготрайни и ефективни. Втората вълна антитела вероятно са произведени от по-малък брой по-дълго живеещи плазматични клетки, които осигуряват дълготраен имунитет. Въпреки това са необходими повече изследвания на антителата срещу коронавируса. Имунните реакции се различават значително при отделните индивиди и все още не е ясно дали антителата могат да предотвратят повторно разболяване и да осигурят дълготраен имунитет.
По отношение на тестовете за диагноза на COVID-19, бързите антигенни тестове навлизат все по-широко в практиката, защото са преносими, по-евтини и по-бързи за използване от PCR тестовете, използвани от повечето лаборатории по време на пандемията. Тестовете за установяване на антигени на вируса също използват назален тампон, но не изискват допълнителен инструмент за отчитане на резултата. В същото време антигенните тестове са по-малко чувствителни и по-често пропускат положителни случаи. Въпреки това те са важни, особено сега, когато PCR тестовете не достигат, а и дават резултатите за по-малко от час.
Навременните и точни лабораторни тестове са съществена част от овладяването на COVID-19. Наша цел е да отговаряме на нуждите на нашите клиенти в реално време и да предоставяме надеждни решения, адаптирани към техния начин на живот.
От началото на пандемията сме основен партньор на здравеопазването в България, подкрепяйки усилията за диагностика на COVID-19.
Synevo България пое активна роля в борбата срещу SARS-CoV-2, разширявайки капацитета си за диагностично тестване, за да гарантира наличността на молекулярните тестове на нашите пациенти. Като имаме предвид Вашата безопасност, ние ще продължим да допринасяме за откриването и овладяването на огнищата на COVID-19.
Ангажираността ни продължава на международно ниво: от избухването на коронавируса, Medicover Diagnostic Services извършва различни изследвания за COVID-19 в страните, в които присъства. Наскоро бе пуснат нов и иновативен продукт за пазара в Обединеното кралство, където комплекти за домашно пробовземане могат да бъдат поръчани на www.corona-checking.com.
От март 2020 г. Medicover Diagnostic Services извърши над 471.221 теста за COVID-19, от които 347.494 PCR теста и 123.727 теста за антитела. Компанията е готова да отговори на дългосрочните нужди от диагностика, увеличавайки капацитета си и инвестирайки в най-доброто лабораторно оборудване.
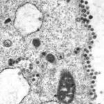
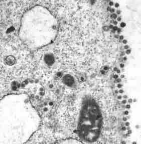
Снимки на новия коронавирус

Източници: Department of Microbiology, The University of Hong Kong and the Government Virus Unit, Department of Health, Hong Kong SAR China, WHO.int
Коронавирусите са зоонози, което означава, че се предават между животни и хора. Подробни разследвания установяват, че SARS-CoV и MERS-CoV се предават от животни към хора. Няколко известни коронавируси циркулират само при животни, а все още не са преминали към хората.
Коронавирусна инфекция по време на бременност
Поради факта, че вътрематочното предаване на инфекция от майката на плода, или т.нар. вертикално предаване, е едно от най-сериозните усложнения на вирусните заболявания по време на бременност, много бременни се притесняват в условията на сегашната пандемия.
Най-често предаваните инфекции от майката на плода са от т.нар. група TORCH (съкращение за инфекциите с токсоплазмоза (Тoxoplasma), други (Оther), рубеола (Rubella), цитомегаловирус (Сytomegalovirus) и херпесен вирус (Нerpes). Други инфекции, за които е известно, че се предават от майка на плода и причиняват увреждания и при двамата, са екзотичните вируси Zika и Ебола.
Обикновено заразяването на плода от майката става по кръвен път (с изключение на херпес вируса). За щастие, този механизъм не е наблюдаван при предишните инфекции с коронавируси – SARS-CoV и MERS-CoV. И при двата обаче, е наблюдавано тежко протичане на инфекцията при бременната с тежка пневмония на майката, смърт и ранна загуба на бременността.
Смята се, че нормални процеси по време на бременността като повишена сърдечна честота, повишен обем на кръвта, повишената консумация на кислород и намален капацитет на белите дробове, както и наблюдаваните имунологични промени, са предпоставка за по-тежко протичане на вирусни инфекции и възникване на усложнения, например при грипна инфекция.
Бременните жени, заразени с коронавируси при предишните епидемии, са били застрашени от повишена смъртност (25%), и акушерските усложнения като спонтанни аборти във всеки триместър, интраутеринна ретардация на плода, преждеверемнно раждане, необходимост от интензивно лечение за новородени и перинатална смърт, и други. Не е било наблюдавано вертикално предаване на SARS-CoV и MERS-CoV вирусите, но бременните жени в сравнение с небременните са изкарвали по-тежко инфекцията.
Данните от Китай на база 38 бременни жени в последен триместър с доказан COVID-19, на възраст между 24-40 години, и техните новородени обобщават следните данни:
- Не е установена РНК на вируса нито в новородените, нито в плацентата.
- При постъпването най-честите оплаквания са били фебрилитет, а някои са имали болки в мускулите, болки в гърлото, общо неразположение, стомашно-чревни симптоми и задух.
- Най-характерните лабораторни промени са били повишен С-реактивен протеин, лимфопения (намален брой на лимфоцитите от кръвна картина и диференциално броене) и повишени чернодробни аминотрансферази (АЛАТ и АСАТ).
- При повечето жени е извършено планирано цезарово сечение.
- Няма случаи на тежка пневмония или документирана майчина смърт.
- При някои новородени са наблюдавани перинатални усложнения, но нито едно от тях не е свързано с наличие на инфекция.
- При описаните случаи на новородени с COVID-19 се касае за заразяване след раждането.
В заключение, данните до момента от анализ на бременните жени с COVID-19 в Китай показват, че инфекцията с коронавируса не повишава риска от тежко протичане на бременността или майчината и детска смъртност.
Необходими са още данни, за да се потвърдят тези наблюдения.
Коронавирусната инфекция при децата
Вирусните инфекции при децата са особено притеснителни и тревожат всеки родител. Вече се натрупаха достатъчно данни за протичане на COVID-19 при деца, за да могат да бъдат направени някои изводи. Успокояващото в случая е, че при децата инфекцията протича по-леко, отколкото при възрастните.
- Децата на всяка възраст са податливи на инфекция с новия коронавирус, като не се наблюдава разлика между момчетата и момичетата под 18 години.
- Най-уязвими на инфекцията са новородените и кърмачетата (под 1 година).
- Средната възраст на децата с COVID-19 в Китай е била 7 години (между 2-13 години), с леко преобладаване на момчетата (56,6%).
- Над 90% от всички деца не са имали оплаквания или са били с леки симптоми на инфекцията.
- Средно 2 дни е било времето от началото на симптомите до поставянето на диагнозата (от 0 до 42 дни).
- Предаването на инфекцията е било по въздушно-капков път от човек на човек.
- Най-характерните симптоми на COVID-19 при деца са били висока температура, кашлица, хрема, болно гърло, умора, повръщане, гадене и диария.
- От кръвната картина са наблюдавани нормален или намален брой левкоцити и намален брoй лимфоцити, повишено CRP.
Видове протичане на инфекцията при деца:
| Форма | Честота | Симптоми | Находка при „преслушване“ на белия дроб | Образни изследвания | РНК на вируса |
| Безсимптомно протичане | 4.4% | Няма | Няма | Нормални | Да |
| Леко протичане | 50.9% | Температура, умора, миалгия, кашлица, болки в гърлото, хрема и кихане, понякога гадене, повръщане, коремна болка и диария | Няма | Нормални | Да |
| Умерено тежко протичане | 38,8% | Пневмония, с треска и кашлица, предимно суха, последвана от кашлица с храчки, понякога затруднено дишане | Хрипове, „свиркане“ | Има леки промени в белия дроб | Да |
| Тежко протичане | 3-10.6% в зависимост от възрастта | Треска и кашлица, диария, пневмония със затруднено дишане (задух), цианоза | Хрипове, „свиркане“ или данни за отслабено дишане | Има промени в белия дроб | Да |
| Критично протичане | Синдром на остър респираторен дистрес (ARDS) или дихателна недостатъчност; понякога шок, енцефалопатия, инфаркт на миокарда или сърдечна недостатъчност, остра бъбречна или полиорганна недостатъчност | Хрипове, „свиркане“ или данни за отслабено дишане и други находки | Тежки промени в белия дроб | Да |
Смята се, че повечето деца са заразени от членове на техните семейства, или други деца, болни от COVID-19, но не и чрез посещение на пазарите за морски дарове, както се смята, че е тръгнала инфекцията при възрастните.
Също така, все още се търсят обяснение защо COVID-19 протича сравнително по-рядко при децата. Предполагат се различни фактори, както такива, свързани със самия вирус, начин на предаване, така и фактори, свързани с детския организъм, неговата имунна система и други.
Като утежняващ фактор при децата се смята ранната възраст при заразяване (под 1 година) и наличие на друга респираторна инфекция, протичаща едновременно. По тези причина е особено добре да се спазва добра хигиена и избягване на контакти с потенциално болни лица.
Лабораторни методи за доказване на коронавирусната инфекция
Бързото определяне на нуклеотидните последователности на новия коронавирус позволиха да се направят някои прогнози, свързани с неговото поведение. Генетичният анализ показва, че nCoV-19 споделя голямо сходство със SARS-CoV (94.4%), с двата дошли от прилепи SARS-подобни коронавируси (88%), SARS-CoV (79%) и MERS-CoV (50%).
Най-големите пробиви, свързани с установяване на генома на новия коронавирус, обаче, безспорно са възможността за прецизна детекция на вируса, както и разработването на ваксина.
Съществуват четири типа nCoV-19 – човешки коронавирус nl63, човешки коронавирус 229e, човешки коронавирус oc43 и човешки коронавирус hku1, които могат да се различават леко по клинична картина, която предизвикват и група пациенти, която най-често заразяват.
Два са основните метода за лабораторна диагностика на инфекцията, причиняваща COVID-19:
- Молекулярно-биологични тестове, които определят дали в кръвта или други телесни течности има РНК на вируса. Те се използват при търсене и доказване на активна инфекция.
- Серологични тестове, които установяват предишна или сегашна инфекция чрез откриване на антитела в серума, насочени срещу вируса. Серологичните тестове са по-полезни за наблюдение, отколкото за диагностични цели. Важно е да се знае, че те не доказват причинителя в организма на тествания индивид, а показват отговора на имунната система към вируса.
Материали, които могат да се използват за установяване на инфекция с новия коронавирус:
- Гърлен/носен секрет;
- Аспират от носа;
- Аспират от трахеята;
- Храчки;
- Кръв.
Молекулярните тестове се използват за диагностициране на активна инфекция (наличие на РНК на вируса) при хора, за които се смята, че са заразени въз основа на техните клинични симптоми и посещения на епидемични места или контакт с хора, дошли от такива места.
При тези методи се използва принципа на полимеразната верижна реакция (PCR) в реално време (т.нар. qRT-PCR). Това изследване се използва за лабораторно потвърждение на инфекция с новия коронавирус. Идеята на изследването е установяване на определени специфични части от генома на вируса.
Този тест се извършва само в лаборатории, одобрени от МЗ, които могат да издадат официален резултат от тестването.
Успехът на теста за qRT-PCR зависи от няколко фактора:
- експертния опит на лабораторния персонал;
- лабораторната среда (напр. избягване на замърсяване);
- вида и състоянието на тестваните проби.
За да бъде достоверен и валиден резултатът, препоръчва се анализът да се прави на различни проби от един и същи пациенти – включително проби от долните дихателни пътища (бронхалвеоларно промиване, храчки и трахеални аспирати) и горни (напр. назофарингеални и орофарингеални секрети), серум и изпражнения.
Обикновено положителният резултат се потвърждава (с друг кит или в друга лаборатория, може и външна за страната).
Важно е да се знае, че изследваното лице не е носител на активна инфекция, ако има поне един отрицателен тест чрез qRT-PCR изследване. Поради широкият инкубационен период (средно 2-14 дни, но може до 21 дни), отрицателният резултат не изключва инфекция. По тези причини се препоръчва тестване за коронавирус, ако имате симптоми, обикновено 5-6 дни след контакт със заразно-болен.
Отрицателният резултат показва, че в момента не се установяват РНК копия на вируса в пробата на изследваното лице.
При тестване без това да е препоръчано от медицински специалист, обикновено в 98% резултатът е отрицателен.
Тъй като единичен отрицателен резултат не изключва напълно CoV инфекцията, при някои обстоятелства могат да бъдат тествани допълнителни проби от пациента. Или да се извърши повторно тестуване при изява на клинични симптоми.
След излекуване пациентът се счита за незаразен, ако освен, че няма симптоми на активна инфекция, е отрицателен за РНК на вируса в организма при две последователни тествания.
Серологичното тестване се използва за откриване на предишна инфекция по наличието на антитела срещу CoV при хора, които може да са били изложени на вируса.
Антителата са протеини, произведени от имунната система на организма, за да атакуват и убиват вируси, бактерии и други микроби по време на инфекция.
Наличието на антитела към новия коронавирус показва, че човек преди това е бил заразен с вируса и е развил имунен отговор.
Възможно е да има кръстосана реактивност към други вируси от семейството на коронавирусите, което да доведе до фалшиво-положителен резултат.
Ако болните не са развили антитела (а това отнема минимум 2-3 седмици) по различни причини, може да се наблюдават фалшиво-отрицателни резултати. Все още не е изяснен имунния отговор към новия коронавирус. По тази причина динамиката на антителата – кога се образуват, колко време съществуват – не са изяснени, което подлага под съмнение и достоверността на тези тестове на този етап.
При всички положения, в условията на пандемия, понякога бързите тестове могат да са полезни с цел скриниране на голяма група от хора. Положителните резултати се тестват за наличие на РНК на вируса в референтна лаборатория задължително.
Симптоми на инфекция с коронавирус (COVID-19)
Регистрираните заболявания при хората, инфектирани с новия коронавирус, варират от протичащи с леки симптоми до тежко боледуване и смърт.
Типичните симптоми са:
- Треска (висока температура)
- Кашлица
- Задух
Заболяването COVID-19 обикновено протича с грипоподобни симптоми, включително треска и кашлица. При някои пациенти – особено в напреднала възраст и с други хронични заболявания – симптомите могат да се развият в пневмония, със стягане и болки в гърдите и недостиг на въздух (задух).
Обикновено инфекцията първо започва с треска, последвана от суха кашлица. След около средно седмица при някои пациенти настъпва и задух, заради който 20% от болните ще потърсят болнично лечение.
COVID-19 рядко причинява хрема, кихане или болки в гърлото (тези симптоми са наблюдавани само при около 5% от пациентите). Болки в гърлото, кихане и запушен нос са най-често признаци на обикновена настинка, дължаща се на риновируси, респираторно-синцитиални и други вируси.
Въз основа на всички 72 314 потвърдени случаи на COVID-19, са изведени следните данни:
- 80,9% от инфекциите са леки (с грипоподобни симптоми) и пациентите могат да се възстановят у дома без усложнения.
- 13,8% са тежки, с развитие на пневмония и задух.
- 4,7% от инфектираните са критични с картина на дихателна недостатъчност, септичен шок и мултиорганна недостатъчност.
- В около 2% от съобщените случаи вирусът е причинил фатален край.
- Рискът от смърт се увеличава при по-възрастните.
- Сравнително малко случаи се наблюдават сред децата.
Съществуващите заболявания, които излагат пациентите на по-висок риск, са:
- сърдечно-съдови заболявания
- диабет
- хронична респираторна болест
- хипертония
Въпреки това, някои иначе здрави хора развиват тежка форма на пневмония, след като са заразени от вируса. Причината за това се изследва, като е възможно свръхреакция на имунната система да е отговорна за тежкото протичане и фаталния край.
Колко дълго траят симптомите на COVID-19?
Използвайки налични предварителни данни на база 55 924 лабораторно потвърдени случая, средното време от появата на симптомите до клиничното възстановяване е:
- Леки случаи: приблизително 2 седмици
- Тежко или критично заболяване: 3 – 6 седмици
- Време от началото на развитието на тежко заболяване (включително хипоксия): 1 седмица
Сред пациентите, които са починали, времето от появата на симптомите до фаталния край варира от 2 до 8 седмици.
Симптоми, наблюдавани при хоспитализирани пациенти с COVID-19
Тези оплаквания се отнасят до хоспитализирани пациенти, които обикновено представляват сериозни или критични случаи. По- голямата част от случаите на COVID-19 (около 80%) са леки.
Общите симптоми включват:
- Треска (при 98,6%)
- Умора (при 69,6%)
- Суха кашлица (59,4%)
Средното време за поява на определени симптоми след първия ден е:
- от първия симптом до → диспнея (задух) = 5 дни
- от първия симптом до → прием в болница = 7 дни
- от първия симптом до → ARDS (синдром на остър респираторен дистрес) = 8,0 дни.
При пациентите Ухан, Китай, са наблюдавани следните клинични характеристики:
- Треска (98%)
- Кашлица (76%)
- Миалгия (мускулна болка) или умора (44%)
- Продуктивна кашлица с храчки (28%)
- Главоболие (8%)
- Хемоптиза (кашлица кръв) (5%)
- Диария (3%)
Други автори установяват още:
- Объркване (9%)
- Възпалено гърло (5%)
- Ринорея (хрема) (4%)
- Болка в гърдите (2%)
- Гадене и повръщане (1%)
При над 90% от пациентите е имало наличие на повече от един признак. Комбинацията от повишена температура, кашлица и недостиг на въздух е наблюдава само при 15% от случаите.
Важно е да се знае, може да нямате никакви симптоми или те да са малко. Освен това, може да не знаете, че имате симптоми на COVID-19, тъй като те са подобни на настинка или грип. Симптомите могат да дебютират до 14 дни след излагане на вируса. Това е най-дългият известен инфекциозен период за представител на семейството от корона вируси.
Препоръки за справяне с коронавирусната инфекция
Топ 6 зашеметяващи факта за новия коронавирус
- SARS-CoV-2 се разпространява с изключително бързи темпове;
- Заболяването COVID-19 не е твърде смъртоносно и в мнозинството от случаи протича като грип или пневмония;
- Рискови фактори за тежко протичане са възраст над 65 г., подлежащо хронично заболяване, мъжки пол, тютюнопушене;
- Не е известно дали се развива траен имунитет след преболедуване и оздравяване.
- Шансът да се разболеете е малък, ако не сте пътували до засегнати региони или не сте се срещали с хора, посетили такива региони;
- Създаването на ваксина ще отнеме между 12-18 месеца.
ИНФО Други вирусни заболявания:
Особености на новия коронавирус
За сравнение, смята се, че другите коронавируси, преминали от животни на хора, заразяват хората, за да увеличат разпространението си, но не целят да ги убият. Предишните две епидемии на коронавирус, протичащи като SARS (тежък остър респираторен синдром) и MERS (респираторен синдром от Близкия изток, наречен така по мястото на възникналото първото огнище), бяха изключително фатални за хората, с много редки безсимптомни случаи. Ако имаше повече от последните, болестта щеше да се разпространи по-широко. В крайна сметка всеки от SARS и MERS убиха по-малко от 1000 души.
Данните към момента показват, че COVID-19 е убил два пъти повече души. Той е смъртоносен, но не твърде. Разболявайки хората не непремнно тежко, позволява свободно придвижване на вируса из целия свят. Пример за това е и круизният кораб в Япония, в който 14 американци бяха положителни за коронавирус без да имат никакви симптоми.
Четиринадесет процента от потвърдените случаи са „тежки“, включващи неподдаваща се на лечение пневмония и задух. При други 5% от пациентите заболяването се е развило като дихателна недостатъчност, септичен шок и/или мултиорганна недостатъчност – това са тези „критични случаи“, което потенциално водят до смърт.
Все още не е ясно защо някои хора страдат повече от вируса, отколкото други. Не е ясно и защо новият коронавирус – подобно на братовчедите му SARS и MERS – изглежда по-смъртоносен от другите коронавируси, които редовно циркулират сред хората всяка зима и обикновено причиняват симптоми на настинка. Вероятно ще отнеме много време да се разбере биологичното поведение на вируса и имунологичните и клинични промени, до които води инфекцията с него.
Рискови фактори за тежко протичане на COVID-19
Възрастните и болни хора са най-податливи на тежки форми на COVID-19. Последните данни от Китай след анализ на близо 45 000 потвърдени случая предполагат, че хората, които най-вероятно развиват тежки форми на COVID-19, са тези с хронични заболявания и възрастни хора.
По-малко от 1% от хората, които иначе са били здрави, са починали от болестта, смъртността при хората със сърдечно-съдови заболявания е 10,5%. Тази цифра е 7,3% за пациенти с диабет и около 6% при пациенти с хронично респираторно заболяване, хипертония или рак.
Смята се, че средно изчислената смъртност от 2,3% е надценена, имайки предвид факта, че много леки случаи могат да останат недиагностицирани. Общият процент е висок за сметка на 14,8% смъртност при възрастни над 80 г. Смъртните случаи са съобщени във всяка възрастова група, с изключение на деца под деветгодишна възраст. Освен това, се наблюдават сравнително малко случаи сред децата.
Учените не знаят какво точно се случва в организма при инфекция с новия коронавирус. Как ще протече инфекцията зависи от имунния отговор на човек. Нещо повече, вирусът направлява хода на инфекцията, но изходът и оздравяването зависят от имунната система и други фактори при гостоприемника. За момента се знае, че nCov-19 навлиза и се размножава в епитела на дихателните пътища. При повечето хора се наблюдава локална възпалителна реакция като отговор на имунната система.
При възрастни и увредени хора обаче, имунната система може да не е в състояние да се справи с вируса, когато размножаването на вируса е по-бързо, отколкото тя може да контролира. Друг сценарий е да предизвика неконтролиран имунен отговор, с ангажиране на огромен брой имунни клетки и свръхпроизводство на цитокини, т.нар. „цитокинова буря“. Клинично тя се изявява с тежки възпалителни състояния, пневмония, задух, възпаление на дихателните пътища, до полиорганна недостатъчност.
Вторият механизъм е вероятно отговорен за редките, но все пак съществуващи случаи на починали млади и здрави хора, като например 34-годишния китайски лекар Ли Уенлианг, който за първи път е сигнализирал за вируса. Той почина няколко седмици след заразяване с патогена.
Генетичните фактори и тези на околната среда също могат да оказват влияние на тежестта на протичане на инфекциите. Докато генетичните фактори все още се проучват на ниво мишки, тютюнопушенето и замърсеният въздух са категорично вредни фактори за протичане на инфекцията с коронавирус.
Мъжете имат по-тежко протичане и по-висока смъртност от COVID-19, отколкото жените (2,8% срещу 1,7%) по предварителни данни. Вероятно това има връзка с гена за рецептора, чрез който вирусът навлиза в клетките и който се намира в Х хромозомата. Но, може да се дължи и на по-голямата честота на пушачите сред мъжете. Естрогените пък действат защитно в хода на инфекцията.
Препоръки на СЗО за спиране на разпространението на епидемията
Ако не се намирате в район, където COVID-19 активно се разпространява, или ако не сте пътували в някой от тези райони или не сте били в близък контакт с някой, който има симптоми, чувства се неразположен или е бил в рисков регион, шансовете ви да се разболеете момента са много ниски.
Разбираемо е обаче, че може да се чувствате стресирани и притеснени от ситуацията. Добре е да знаете подробности за начини на разпространение на вируса (вижте Въпроси и отговори). Важно е да бъдете информирани, за да вземете подходящи мерки и да се защитите.
Мерки за превенция
Мерките за профилактика срещу инфекцията с новия коронавирус и тези, които ограничават разпространението на вируса, трябва да се предприемат от всички, особено от болните, независимо дали са диагностицирани с този вирус или имат клинични прояви, характерни за него.
- Избягване на градски транспорт;
- Избягвайте кашляне и кихане в ръцете, препоръчва се това да става в свивката на лакътя и, ако не е възможно, незабавно извършване на хигиена на ръцете, без да докосвате повърхности;
- Използването на носна кърпа за кихане не изключва измиването на ръцете след изхвърлянето им в кошчето;
- Избягвайте контакта с хора, които показват признаци на инфекция;
- Избягвайте близки контакти с лицата, които проявяват признаци на заболяване;
- Правилна вентилация на затворени пространства (чакални, класни стаи, градски транспорт, конферентни зали, и др.);
- Избягвайте пътуването до засегнатите райони;
- Правилна вентилация на офис сгради, които имат структура на открито или общи работни пространства;
- Правилно носене на защитна маска и смяна през кратки интервали от време.
Инструкции за правилно поставяне на маска
- Маската трябва да се поставя плътно, покривайки устата и носа, и обхващайки брадичката;
- Металният ръб в горната част, трябва да бъде фиксиран възможно най-високо върху носа, без да пречи на дишането;
- Маската трябва да се отстрани без докосване на предната част. Веднага след като се отстрани, трябва да се извърши хигиена на ръцете, като се използва вода и сапун.
- Маски трябва да носят хора, които имат симптоми и хора, които предоставят медицински грижи на болни хора.
Терапия
Понастоящем няма специфично лечение на инфекцията с новия коронавирус, като препоръчаното лечение е само симптоматично. Поради тази причина профилактиката е единственият начин да се защитим от разпространението на новия коронавирус.
Обновено: ВЪПРОСИ И ОТГОВОРИ
Какво да правим, ако се съмняваме за инфекция с коронавирус?
В България към момента за новия коронавирус могат да бъдат изследвани граждани с проявени симптоми като:
- Висока температура (над 38◦С);
- Тежка респираторна инфекция с кашлица и трудности в дишането;
- Начална пневмония.
Допълнителни фактори са: пътуване в райони с епидемичен риск през последните 14 дни или са хора, които са били в контакт с човек с диагноза или подозирана инфекция COVID-19.
Пробите се взимат единствено и само от лечебни заведения по предписание на лекуващ лекар и се изпращат в Националната референтна лаборатория. Изследването е безплатно за гражданите и болниците, тъй като средствата се осигуряват от Министерството на здравеопазването.
Човек, който се съмнява за инфекция с коронавирус, трябва да:
- Се обади на лекуващия си/личен лекар;
- Се изолира от другите хора;
- Постави незабавно маска на лицето си.
Какво означава близък контакт при опасни инфекции?
- Живеещи в едно домакинство;
- Пряк физически контакт с болен (например докосване);
- Незащитен директен контакт със секрети на болен (при кихане, кашляне и т.н.);
- Пребиваване в една и съща стая на разстояние по-малко от 2 m и с продължителност над 15 минути;
- Медицински и лабораторен персонал, който оказва грижи за болен;
- Общ полет със самолет с болно лице;
- Пребиваване на летище;
- Използване на обществен транспорт;
Какви са потенциалните усложнения при инфектиране с новия коронавирус?
- Респираторен синдром на Близкия изток (MERS-CoV);
- Тежък остър респираторен синдром (SARS-CoV);
- Пневмония, която не отговаря на стандартното лечение с антибиотици;
- Преждевременно раждане, спонтанен аборт, усложнения или смърт при раждането.
Мога ли да се заразя от домашния ми любимец?
Не. Няма доказателства, че животните или домашните любимци като котки и кучета се заразяват или биха могли да разпространят вируса, причиняващ COVID-19.
Какво не трябва да правя, ако се съмнявам за инфекция с новия коронавирус?
Следните мерки НЕ са ефективни срещу COVID-2019 и могат да бъдат вредни:
- Пушене;
- Приемане на билкови лекарства;
- Носенето на няколко маски едновременно;
- Приемане на самолечение като антибиотици.
Във всеки случай, ако имате температура, кашлица и затруднено дишане, потърсете медицинска помощ рано, за да намалите риска от развитие на по-тежка инфекция и не забравяйте да споделите с вашия лекар, ако сте пътували наскоро.
Защо някои пациенти с хронични заболявания са по-рискови за тежко протичане на COVID-19 от други?
Наличието на някои заболявания при хората, особено при тези над 65 години, се считат за рискови за по-тежко протичане на COVID-19.
Сред тях са (но не ограничени само до):
- мозъчно-съдовите заболявания;
- диабет;
- хипертония;
- коронарни сърдечни заболявания.
Проучванията върху човешките коронавируси показват, че те използват за навлизане в клетките ангиотензин-конвертиращия ензим 2 (ACE2). Този рецептор е в най-големи количества по повърхността на клетките в белия дроб, червата, бъбреците и кръвоносните съдове. Това определя засегнатите органи и възможните симптоми на инфекцията.
Този ензим е в увеличени количества при пациентите с диабет тип 1 и тип 2, чието лечение включва АСЕ инхибитори и блокери на рецепторите на ангиотензин II тип I (ARBs). Пациентите с високо кръвно налягане също често се лекуват с посочените две групи медикаменти. Тази терапия води до по-висока концентрация на рецептора АСЕ2. АСЕ2 също може да бъде повишен и при лечение с тиазолидиндиони (лекарства за диабет) и ибупрофен (нестероидно противовъзпалително средство). Въпреки съобщените данни за вредното влияние на ибупрофена при COVID-19, все още не са натрупани достатъчно данни за да се правят заключения за неговото влияние върху протичането на инфекцията.
Все още не е ясно защо лечението на диабет и хипертония с лекарства, които увеличават количеството на АСЕ2 върху клетките благоприятства разболяването и риска от развитие на тежка и фатална COVID-19. Ако тези хипотези се потвърдят, ще трябва да се мисли за смяна на лечението на тези болни, например с блокери на калциевите канали.
Друг аспект, който предстои да бъде изследван в следващите месеци, е генетичната предразположеност към повишен риск от инфекция със SARS-CoV-2, която може да се дължи на различия в гена за ACE2 при отделните хора. Възможно е да има връзка между тези генни различия, особено сред азиатците. В този ред на мисли, пациентите със сърдечни заболявания, хипертония или диабет, които се лекуват с повишаващи АСЕ2 лекарства, трябва да се считат за по-рискови от тежка инфекция с COVID-19 и следователно трябва да бъдат внимателно проследявани при използване на такива лекарства.
Колко дълго може да остане вирусът в организма ни?
Ново проучване, публикувано преди няколко дни в престижното медицинско списание The Lancet, твърди, че новият коронавирус може да остане в дихателните пътища на някои пациенти над пет седмици. Изглежда приемането на антивирусни лекарства не са успели да съкратят живота на вируса.
Вирусът присъства в телата на пациенти с тежко заболяване средно около 19 дни, докато при тези в критично състояние – средно 24 дни. При изписаните пациенти, вирусът е откриван в организма средно около 20 дни след проявата на първите симптоми. В дихателните пътища на починалите пациенти коронавирусът се открива до смъртта им.
Най-краткият период от време, през който вирусът е бил установим в дихателните пътища е 8 дни, а най-дългото пребиваване е било 37 дни.
Тези данни имат решаващо значение за това колко време пациентът да бъде поставен под карантина и кога се смята за оздравял и незаразоносител. Също така, тези данни могат да дадат и насоки за продължителността на провежданото антивирусно лечение.
Всъщност, оказва се, че препоръчаната карантина от 14 дни на лица, идващи от рискови райони или били контактни на болни, може да не е достатъчна за контрол и превенция на заболяването.
Инфекцията прави ли хората защитени от повторно боледуване?
Дали пациентите развиват антитела след инфекция с новия коронавирус, които ще ги предпазят от бъдещи инфекции, все още е загадка. Проучванията на пациенти с други вируси от семейството показват, че анти-коронавирусните антитела не съществуват много дълго в кръвта на оздравелите. Много ниските или липсващи нива на антителата не са достатъчни за предпазване от нова инфекция.
Как се предава коронавирусът?

Новият коронавирус е респираторен вирус, който се предава по въздушно-капков път. Това означава, че заразяването се осъществява чрез капки/аерозоли, които се отделят във въздуха от болния човек при кихане, кашляне и говорене и са вдишани от друг човек. Поради това е важно да се спазва много добра хигиена – използване на маски, кихане и кашляне в сгъвката на лакътя/ръкава, често миене на ръцете и дезинфекциране.
Може ли коронавирус да се предава по повърхности като дръжки на врати и колко дълго оцелява върху тях?

Ако пръски, съдържащи вируса, попаднат върху повърхности или с ръце бъдат пренесени върху тях, някой друг също може да се зарази, докосвайки тези повърхности и след това лицето си (очи, уста, нос). Дръжки на врати, копчета на асансьори, перила на стълбища, места за хващане в градския транспорт са примери за повърхности, които могат да бъдат заразни. Все още не е ясно колко време може вирусът да живее върху тези повърхности – дали часове или дни, но най-добре е да се избягва докосването им, а ръцете да се мият често.
Пръскането на тялото с алкохолни разтвори и белина ще унищожи ли коронавируса?
Не, използването на дезинфекциращи разтвори за повърхности върху тялото, не могат да окажат влияние върху вируса, който вече е проникнал в тялото. В същото време тези разтвори може да увредят кожата, лигавиците ви (очи, уста, нос) или дрехите Ви, затова не се препоръчва използването им върху тялото.
Климатът и температурата оказват ли влияние върху разпространението на коронавирус?
Все още не е известно дали сезонните температурни промени повлияват разпространението на вируса, за разлика от вируси като грип.
Може ли човек да се разболее, ако консумира храна, приготвена от болен?
Да, възможно е, ако пръски от слюнка на болен човек при кашлица или кихане попадне върху храната. Измиването на ръцете преди приготвяне и консумация на храна е превантивна мярка за разпространението на вируса.
След преболедуване от коронавирус създава ли се доживотен имунитет?
Все още не са известни всички имунологични промени, които причинява инфекцията с коронавирус. След преболедуване е възможно да има имунитет, но е малко вероятно той да е дълготраен.
Какви са разликите между коронавирус и грип?
Инфекциите с коронавирус и грип споделят подобни симптоми, които правят трудно диагностицирането им без да бъдат направени специфични тестове. Докато тестовете за грип са широко разпространени, тези за коронавирус не са общо достъпни. Основните симптоми на коронавирус инфекцията са висока температура и кашлица. Грипът често има и други допълнителни симптоми като болки в мускулите и гърлото. Всеки, който се съмнява за инфекция с коронавирус, или са имали контакт с болен човек, трябва да се обърнат към личния си лекар.
Колко ефективно е ползването на маска за лице за предпазване от коронавирус?
Заедно с измиването на ръцете и избягване докосването на повърхности на обществени места, използването на маска е сред най-ефвктивните средства за защита.
Може ли коронавирусът да се предава по полов път?
Към момента се смята, че единствените начини за предаване на вируса са по въздушно-капков път.
Колко дни е инкубационният период на коронавируса?
Според СЗО инкубационният период варира между 2 и 10 дни, като последните данни показват, че той може да бъде удължен и до 21 дни.
Възможно ли е болните от коронавирус да се възстановят напълно?
При голяма част от заразените пациенти инфекцията с коронавирус протича с леки симптоми и пълно възстановяване до около седмица. Въпреки това, при по-възрастни и увредени хора, с диабет или ракови заболявания, както и такива с имунодефицити, инфекцията може да протече тежко.
Може ли на коронавирус бъдат предаден чрез предмети и стоки, закупени от Китай и по-специално от Ухан?
Коронавирус може да попадне върху предмети от кихащи и кашлящи болни, но едва ли оцелява дълго върху тях, особено при международен и междуконтинентален транспорт.
Има ли някаква причина такива вируси да възникват предимно в Китай?
Да, това се дължи на голямата популация от хора, и такива, живеещи в непосредствена близост до животни. Така се създава възможност за миксиране на животински вируси в хората и изникване на нови вируси.
Съществува ли ваксина, която да предотврати тази дихателна болест?
За момента не съществува ваксина, но учените продължават да работят по въпроса.
Коронавирус: Малко история
През пролетта на 1997 г. беше регистриран първият случай на „птичи грип“. Установяването му отне повече време, тъй като стандартните протоколи за идентифициране на вируси не можеха да го определят. След включване на няколко международни лаборатории беше потвърдена разновидност на грипа – вирусът, който е убил повече хора от всеки друг в историята. H5N1, или „птичият грип“ за първи път беше установен при хора. До края на годината заболяха още няколко души, а 6 починаха.
Въпреки високата смъртност от 60%, епидемията беше овладяна и смъртните случаи наброяват 455 случаи. За сравнение – сезоните грипни вируси убиват по-малко от 0,1 процента от хората, които заразяват, но по брой са отговорни за стотици хиляди смъртни случаи всяка година.
Тежката клинична картина при предишните коронавируси позволи болните хора да бъдат веднага хоспитализирани и изолирани, което силно ограничи хода на епидемията. Новият коронавирус nCov-19 води до дихателното заболяване COVID-19, което може да протече изключително тежко. Смъртността при този вирус се движи около 2%, но заради ниската смъртност и възможността за леко, почти незабележимо протичане, разпространението е изключително голямо.
ИНФО
Можете да заявите Вашите тестове онлайн с 5% отстъпка
Заявете изследванията си онлайн и спестете 10% от стойността им
Източници:
- https://www.who.int/health-topics/coronavirus
- https://www.cdc.gov/coronavirus/2019-ncov/vaccines/keythingstoknow.html?CDC_AA_refVal=https%3A%2F%2Fwww.cdc.gov%2Fcoronavirus%2F2019-ncov%2Fvaccines%2F8-things.html
- https://www.mh.government.bg/bg/novini/aktualno/za-noviya-koronavirus-mozhe-da-bde-izsledvan-samo-/
- https://www.bbc.com/news/world-asia-china-51176409
- https://www.the-scientist.com/news-opinion/why-some-covid-19-cases-are-worse-than-others-67160
- https://www.theatlantic.com/health/archive/2020/02/covid-vaccine/607000/
- https://www.reginamaria.ro/articole-medicale/how-handle-potential-cases-infection-new-coronavirus
- https://www.worldometers.info/coronavirus/coronavirus-symptoms/
- https://www.archivesofpathology.org/doi/abs/10.5858/arpa.2020-0901-SA
- https://pediatrics.aappublications.org/content/pediatrics/early/2020/03/16/peds.2020-0702.full.pdf
- https://www.cdc.gov/coronavirus/2019-ncov/lab/index.html?CDC_AA_refVal=https%3A%2F%2Fwww.cdc.gov%2Fcoronavirus%2F2019-ncov%2Flab%2Frt-pcr-detection-instructions.html
- https://www.thelancet.com/journals/lanres/article/PIIS2213-2600(20)30116-8/fulltext#articleInformation
- https://www.rki.de/DE/Content/InfAZ/N/Neuartiges_Coronavirus/Steckbrief.html
- https://www.thelancet.com/journals/lancet/article/PIIS0140-6736(20)30566-3/fulltext#bib33










